- Anserine ELISA Kits
- Avian ELISA Kits
- Bovine ELISA Kits
- Canine ELISA Kits
- Camel ELISA Kits
- Chicken ELISA Kits
- Monkey ELISA Kits
- Duck ELISA Kits
- Equine ELISA Kits
- Fish ELISA Kits
- Feline ELISA Kits
- Guinea Pig ELISA Kits
- Goose ELISA Kits
- Goat ELISA Kits
- Gymnuromys ELISA Kits
- Human ELISA Kits
- Hamster ELISA Kits
- Horse ELISA Kits
- Lizard ELISA Kits
- Mouse ELISA Kits
- Porcine ELISA Kits
- Pigeon ELISA Kits
- Rat ELISA Kits
- Sheep ELISA Kits
- Zebra ELISA Kits
- Deer ELISA Kits
- SPECIFICATION
- BACKGROUND
- DOCUMENTS
- REVIEW
ADDITIONAL INFORMATION
SYNONYMS
AIM; DNMT; MCMT; CXXC9; HSN1E; ADCADN; m.HsaI; DNMT1
REACTIVITY
Human,Mouse,Rat
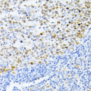
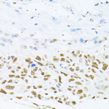
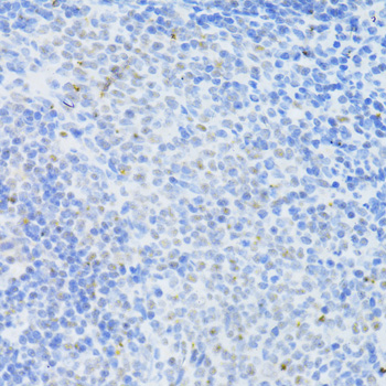
TESTED APPLICATIONS
ELISA,WB,IHC-P,IF/ICC,IP
RECOMMENDED DILUTION
WB,1:500 - 1:1000|IHC-P,1:50 - 1:200|IF/ICC,1:50 - 1:200|IP,0.5μg-4μg antibody for 200μg-400μg extracts of whole cells
CALCULATED MW
183kDa
OBSERVED MW
200kDa
IMMUNOGEN
Recombinant fusion protein containing a sequence corresponding to amino acids 1-124 of DNMT1 (NP_001370.1).
POSITIVE SAMPLES
HeLa,293T,Jurkat,U-87MG,Mouse testis
CELLULAR LOCALIZATION
Nucleus,
STORAGE BUFFER
Store at -20℃. Avoid freeze / thaw cycles.|Buffer: PBS with 0.01% thimerosal,50% glycerol,pH7.3.
BACKGROUND
This gene encodes an enzyme that transfers methyl groups to cytosine nucleotides of genomic DNA. This protein is the major enzyme responsible for maintaining methylation patterns following DNA replication and shows a preference for hemi-methylated DNA. Methylation of DNA is an important component of mammalian epigenetic gene regulation. Aberrant methylation patterns are found in human tumors and associated with developmental abnormalities. Variation in this gene has been associated with cerebellar ataxia, deafness, and narcolepsy, and neuropathy, hereditary sensory, type IE. Alternative splicing results in multiple transcript variants.
REVIEW
Neo Scientific welcomes feedback from its customers.
If you have used an our product and would like to share how it has performed, please click on the "Submit Review" button and provide the requested information.
If you have any additional inquiries please email technical services at info@neobiolab.com
Thank you for your support.
